发黄的牙齿也分为很多种,有些患者被医生诊断为外源性着色牙时还一头雾水。什么是外源性着色牙?它怎么来的?有什么办法让牙齿白回来吗?关于这哲学三问, 福州口腔医院科尔口腔 有办法回答。 什么是外源性着色牙? 外源性着色牙,也就是指从口腔外部而来的色素或口腔中的细菌所产生的色素沉
发黄的牙齿也分为很多种,有些患者被医生诊断为“外源性着色牙”时还一头雾水。什么是外源性着色牙?它怎么来的?有什么办法让牙齿白回来吗?关于这哲学三问,
福州口腔医院科尔口腔有办法回答。
什么是外源性着色牙?
外源性着色牙,也就是指从口腔外部而来的色素或口腔中的细菌所产生的色素沉积于牙齿表面的情况。
外源性着色牙是怎么来的?它有以下几种情形:
1. 患者长期喝茶、吸烟或嚼槟榔等。
2.患者不注重口腔卫生,不仔细刷牙,导致这些已经产生菌斑的牙齿表面更容易被外来色素附着于其上。而且,随着牙齿菌斑下方的牙面的脱矿,色素也有可能会渗入牙体组织内部。
3.长期使用洗必泰牙膏会在牙齿表面形成浅褐或深褐色的着色,并且当牙齿经过氨硝酸银浸镀治疗后,其也会变为黑色。
4.如果经常接触矿物质也会导致外源性着色。比如说,频繁接触铁、硫等物质,牙齿会变为褐色;频繁接触铜、镍、铬等,牙面则容易变为绿色。
5.个人生理因素。比如个人的唾液的粘稠度、酸碱度还有口腔内部产生的色素细菌的生长等。
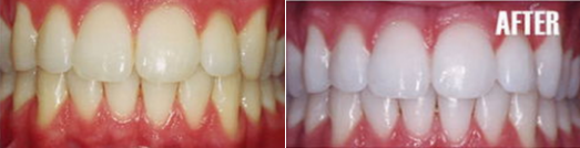
如何让牙齿白回来?
如果您已成年,那么
福州科尔口腔医院建议您可以尝试
冷光美白治疗。一个疗程
仅需30-40分钟,
一次就能美白成功!如果您后续能爱惜维护好牙齿,那么美白效果一次持续五年也不是没可能的。
福州口腔医院科尔口腔
温馨提醒您:关注
科尔口腔医院微信公众号,
不论何时,科尔口腔专家都会为您随时解答,以便您了解更多的牙齿信息。
此外,福州科尔口腔医院还开设了
专家在线咨询平台,口腔专家时刻待命中,
有需要的小伙伴可以
点击下方二维码直接与专家交流沟通哟。

科尔口腔官网
http://www.keerkq.com/